Eu-Bacterias-OM
Producto farmaceutico del Laboratorio OM del año 1947


Eu-Bacterias-OM
Producto farmaceutico del Laboratorio OM del año 1947


Citologia vaginal
Apuntes de Citologia vaginal de Tomás Cabacas Hurtado

Programa RUCISITO
Fue un programa seroepidemilogico de la Facultad de Medicina en el año 1979
El programa fue ideado para realizar un estudio de la epidemiologica de las siguientes enfermedades: Rubeola. Citolomegalovirus. Sifilis. Toxoplasmosis.
Fue un programa conjunto de la Catedrá de Obstetricia y Ginecologia y la de Microbiologia de la Facultad de Medicina de Sevilla
Se realizaba a todas las embarazadas que estaban controladas en el Policlinico de la Facultad.
El apartado de la ruboela fue utilizado por Tomás Cabacas Hurtado para realizar la Tesina de Licenciatura que fue defendida en la Universidad de Sevilla con el resultado de Sobresaliente.
Ficha del Programa RUCISITO


Anatomías Patológicas del Síndrome Toxico
El Síndrome tóxico o Síndrome del aceite tóxico o enfermedad de la colza fue una intoxicación masiva sufrida en España en 1981. La enfermedad afectó a mas de 20.000 personas y murieron unas 1100 personas.
La causa mas aceptada fue el aceite de colza industrial, no autorizado para consumo humano, aunque existieron otra teoria que pensaron que fuer por tomates envenenados, otras por metaloides del hollín del menaje de cocina.
En 1989 el Tribunal Supremo de España consideró probada la relación entre el Sindrome Tóxico y la ingesta de aceitet de colza desnaturalizado.
Tomás Cabacas Hurtado, ginecologo, ha tratado algunas pacientes del Sindrome Tóxico hasta el año 2016
Informe de la Comisión de Anatomia Patologica en el año 1981.


tri-om
Deducciones para la práctica clinica de nuesra actual casuitica de tri-om
Año 1947
Es un estudio que realizó el laboratorio OM sobre el producto farmacéutico tri-om para la tuberculosis pleuropulmonar.

HISTOMETRIA PLACENTARIA.
La placenta es un órgano transitorio de forma discoidal de entre 15 y 25 cm de diámetro 3 cm de grosos que se forma durante la gestación a partir del corion y la decidua materna. A través de la placenta se estable el intercambio de nutrientes y otras sustancias entre la madre y el feto y se regula la nutricio, el crecimiento y el desarrollo fetal. La placenta humana es hemocorial, al estar las vellosidades placentarias directamente en contacto con la sangre materna. Tiene actividad endocrina y segrega las hormonas necesarias para permitir la evolución normal de la gestación.
Placenta humana. Tamaño real, recién expulsada.

La placenta desde el punto de vista histológico se distingue la placa corial, formada por epitelio amniótico, tejido conjuntivo, mesénquima extraembrionario y trofoblasto. La placa basal formada por trofoblasto que trofoblasto, la capa compacta decidual y la capa esponjosa endometrial. Entre ambas se sitúa la cámara intervellosa, llena de sangre materna, la cual contiene entre 20 y 40 pedículos velllositarios que van desde la placa corial a la basal y contienen los vasos fetales.
Estructura de la Placenta humana

Tesis de la Universidad de Sevilla. Facultad de Medicina
Tomàs Cabacas Hurtado en el año 1980 inicia la Tesis Doctoral para estudiar la superficie placentaria con técnicas de precisiòn, medidas histològicas con un planìmetro informàtico, y correlacionarla con los datos clínicos y analíticos de la gestación y parto.
Realizada por: Tomás Cabacas Hurtado
Dirigida por los catedráticos de Obstetricia y Ginecologia de la Facultad de Medicina de Sevilla D. José Maria Bedoya González y D. Jesús Sánchez Ramos.
La Tesis se inició en el año 1980 y quedó inconclusa por traslado del autor. Se realizó el trabajo en un 75 %. No fué leida, ni defendida.
Certificado para la realización de la Tesis Doctoral.

HIPOTESIS DE TRABAJO de la Tesis Doctoral
-La placenta deberá tener alteraciones cuando exista perdida del bienestar fetal. Embarazo prolongado. Prematuro. Preeclampsia. Diabetes. Sufrimiento fetal y en la muerte fetal.
-Deseamos encontrar una correlación métrica entre la patología y la superficie placentaria.
-Estudio de la histometria micro placentaria mediante un planímetro con lectura de lápiz conectado a un ordenador de las muestras anatomopatologicas de la placenta.
Era un planímetro de última generación de aquella época para medir con precisión de micras preparaciones anatomopatologicas reales, con la técnica habitual de preparación, corte de tinción. Se proyectaban en una pantalla de mesa que podían leerse con un terminal grafico en forma de lápiz conectado a un ordenador. Se obtenía el número de unidades medidas. Diámetro. Perímetro. Y clasificación en grupos de intervalos adecuados en pantalla y se podía imprimir en papel térmico.
METODOLOGÍA DE LA TESIS DOCTORAL. HISTOMETRÍA PLACENTARIA
Se recogían todos los datos clínicos. Analíticos Ecográficos. Registros toco cardiográficos. Parto. Peto Fetal y Test de Apgar.
Con el fin de correlacionarlos con los valores histométricos.
Valoración in situ o a las pocas horas de la placenta

3. Crear mapas placentarios.
Se intentaba crear un Atlas Placentario Básico de los resultados del estudio morfológico.


Se desprendían las membranas ovulares. Se cortaba el cordón a 1 cm de la cara placentaria, para conseguir homogeneizar los datos.
Se realizaba el Volumen y Peso lo más pronto posible al parto.
Se realizaban muestras de las morfológicas placentarias.
Se tomaban a todos 4 bloques iguales de 1 cm por 1 cm en las horas 12, 3, 6 y 9.
Si existian anormalidades macroscopicas se tomaban ademas una muestra o dos de la zona visualizada.
En el Servicio de Anatomia Patologica se procesaban como piezas habituales de tejido, con las técnicas de fijación, tallado, corte y tinciones con hematoxilina-eosina
Estudio de la histometría micro placentaria mediante un planímetro con lectura de lápiz conectado a un ordenador de las muestras anatomopatologicas de la placenta.
Era un planímetro de última generación de aquella época para medir con precisión de micras preparaciones anatomopatologicas reales, con la técnica habitual de preparación, corte de tinción. Se proyectaban en una pantalla de mesa que podían leerse con un terminal grafico en forma de lápiz conectado a un ordenador. Se obtenía el número de unidades medidas. Diámetro. Perímetro. Y clasificación en grupos de intervalos adecuados en pantalla y se podía imprimir en papel térmico
Se realizaban lectura de 20 campos de cada muestra. Como se tomaban 4 muestras de cada placenta. La lectura final es el resultado de 80 campos de cada placenta.
Si existìan anormalidades macroscopicos y se habian tomado muestras de la zona se realizaba el estudio de 80 campos de esta muestra patologica.
DATOS OBJETIVOS QUE SE OBTENIAN CON EL PLANIMETRO
Finalmente mediante un calculo matematico la SUPERFICIE DE LAS VELLOSIDADES, es decir la superficie de la Placenta en cuanto al valor total de la superficie de intercambio de la placenta.
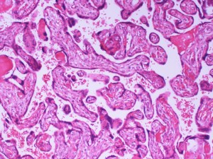
Imagen de las vellosidades placentarias sobre las que se realizaba la histometria placentaria

Hoja de Trabajo para la lectura de las vellosidades

Hoja de una lectura de vellosidades de una placenta en el Planimetro.

Lectura de los vasos por el Planimetro

Lectura de patologia de la placenta. Acumulos de fibrina.

Hoja de recogida de datos del Planimetro

Hoja de papel termico que imprimia el Planimetro en la lectura como resultado final.

Resultado en papel termico al final de la lectura de los vasos del Planimetro.

FORMULA MATEMATICA para el Cálculo de la Superficie placentaria.
Con el microscopio a 100 aumentos, se proyectaba la preparaciòn histològica en la pantalla del planimetro.
Se calculaba la proyección y la lectura de acuerdo para medir un 1 milimetro de preparacion histologica.
Se realizaba la mediciòn contorneando las estructuras con el làpiz del planimetro conectado al ordenador
Se utilizaba el perimetro de la vellosidad y se valoraba que a la altura de 1 mm era un cilindro casi perfecto. La superficie de un cono. (Perimetro de la base por la altura)
Se median los perimetros en mm se multiplicaba por 1 mm de altura y el resultado es la superficie de estos conos es decir de las vellosidades en un 1 mm/3 de la placenta.
PLACENTAS DE PATOLOGIAS RECOGIDAS en el año 1980 para la Tesis Doctroal
Este fue el número de placentas que tenía recogida para la Tesis Doctoral. Tenía estudio realizado del 25 % del total.
Embarazo prolongado……………. 28 Placentas
Sufrimiento fetal……. ……………… 26 Placentas
Diabetes Gestacional…. ……………… 22 Placentas
Hipertensión…. ………………………… 22 Placentas
Prueba de Oxitócica positiva…… 26 Placentas
Pruebas normales …… 50 Placentas
Prematuros………………… … 24 Placentas
Aborto………………………. … 20 Placentas
Feto Muerto……………………………… 11 Placentas
Pre eclampsia …………………… 6 Placentas
Otros
Acreano 1
Tercera Cesaría 2
Ioinmunicazcion. 1
Sueldo del médico en 1980-1981
Sueldo del médico de Hospital en 1980-1981

Sueldo del médico 1980 en 1981

sueldeo de los médico especialistas de cupo


Sueldo del médico titular en 1980-1981

I Jornadas Extremeñas de Cirugía Ambulatoria
I Jornadas Extremeñas de Cirugía Ambulatoria celebradas enb Zafra el 21 de marzo de 1997

Programa de I Jornadas Extremeñas de Cirugía Ambulatoria

Alimentación del niño en le 1er. año de vida
Alimentación del niño en le 1er. año de vida.
Editado por el Ministerio de Sanidad y Consumo. Año 1985

Alimentacion al pecho materno
Alimentacion al pecho materno. Editado por el Ministerio de Sanidad y Consumo
Año 1982
